Bạn có thể chuyển sang phiên bản mobile rút gọn của Tri thức trực tuyến nếu mạng chậm. Đóng

Nhận tin có nguy cơ mắc ung thư phổi chỉ sau 10 ngày đau ngực, sút cân

Người đàn ông 47 tuổi đau ngực trái, ho, gần đây kèm thêm sốt, gầy sút 3 kg. Uống thuốc mãi không khỏi, anh đi khám và bàng hoàng khi nhận tin có khả năng cao mắc ung thư phổi.

Bệnh nhân đến Trung tâm Y tế Tân Sơn (Phú Thọ) ngày 26/6. Bác sĩ chuyên khoa I Nguyễn Minh Tuấn, Trưởng khoa Khám bệnh, chỉ định cho bệnh nhân thực hiện các xét nghiệm cận lâm sàng.

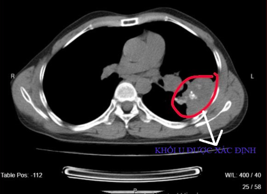
Trên hình ảnh CT-Scanner lồng ngực kết luận bệnh nhân có hình ảnh các khối, đám tổn thương tổ chức thùy trên hai phổi; hạch trung thất, nền cổ, khối vị trí tuyến lượng thận phải, dày màng phổi thùy bên trái; các đám xơ dày tổ chức kẽ đính phổi hai bên; tiêu xương cung sau xương sườn 5 bên trái.

ung thu phoi anh 1

Bác sĩ phát hiện khối u trong phổi bệnh nhân. Ảnh: BVCC.

"Bệnh nhân có tiền sử lao phổi đã điều trị cách đây 10 năm. Điều đáng quan tâm là chúng tôi đã phát hiện u phổi, hạch, và tiêu xương, bệnh nhân đau lan tỏa ngực, gầy sút cân, đó là những dữ liệu quan trọng định hướng nghi ngờ nguy cơ cao bị ung thư phổi, giới thiệu bệnh nhân lên tuyến trên để chẩn đoán chính xác", bác sĩ Tuấn nói.

Ung thư phổi là một trong những bệnh lý ác tính có số lượng người mắc và tỷ lệ tử vong hàng đầu trong các bệnh ung thư thường gặp ở hai giới. Theo số liệu thống kê, ung thư phổi đứng thứ 2 về tỷ lệ mắc mới và là nguyên nhân gây tử vong nhiều nhất trong số các bệnh ung thư trên toàn thế giới.

Tại Việt Nam năm 2020, ung thư phổi xếp thứ 2 với hơn 26.000 ca mắc mới (chiếm 14,4%) và gần 23.800 ca tử vong vì căn bệnh này.

PGS.TS Phạm Văn Bình, Phó giám đốc chuyên môn Bệnh viện K (Hà Nội), cho biết biểu hiện của ung thư phổi thường không rõ ràng ở giai đoạn đầu, dễ khiến cho người bệnh chủ quan nghĩ rằng đó là các bệnh hô hấp.

Các biểu hiện điển hình mà người bệnh cần lưu ý đi khám như ho khan dai dẳng, sụt cân, đau ngực; ho ra máu,...

"Những đối tượng nguy cơ cao như người có thói quen hút thuốc lâu năm, tiếp xúc với khói thuốc lá trong một thời gian dài, người sử dụng nhiều rượu bia, chất kích thích... ngay khi có những biểu hiện ban đầu cũng cần phải lưu ý tới khám để phát hiện và điều trị kịp thời", ông Bình tư vấn.

Muốn ăn uống lành mạnh nhưng hay stress công việc? Muốn tập thể dục đều đặn nhưng hay làm việc trễ? Mục Sức khỏe giới thiệu một số sách để đồng hành cùng bạn từ phòng gym đến đường chạy, từ văn phòng đến bếp ăn. Tuyển tập này sẽ cung cấp thêm nhiều lựa chọn, và bớt đi một số nỗi lo trên hành trình cân bằng cuộc sống hiện đại.

Nguyên nhân cơ thể 'bốc mùi' ngay cả sau khi tắm

Nội tiết tố, thức ăn cay, căng thẳng hay tập thể dục quá mức có thể là những lý do khiến bạn không thể loại bỏ mùi hôi của cơ thể ngay cả sau khi tắm.

https://vietnamnet.vn/bang-hoang-nhan-tin-nguy-co-cao-mac-ung-thu-phoi-chi-tu-dau-hieu-thuong-gap-2158772.html

Võ Thu / Vietnamnet

Bạn có thể quan tâm