Bạn có thể chuyển sang phiên bản mobile rút gọn của Tri thức trực tuyến nếu mạng chậm. Đóng

Những thời điểm không nhổ răng

ThS.BS Nguyễn Vũ Trung, khoa Răng Hàm Mặt, BVĐK Hà Đông khuyến cáo những đối tượng sau đây không nên nhổ răng để tránh nguy hiểm không đáng có.

1. Khi mới ốm dậy

Theo BS Trung, khi đang ốm hay vừa mới ốm dậy không nên đi nhổ răng vì sức đề kháng không tốt, khả năng đông máu của cơ thể kém, khiến việc cầm máu mất nhiều thời gian. Khả năng phục hồi cũng rất kém sau những tổn thương. Trong khi đó, nhổ răng là kỹ thuật xâm lấn đau đớn và ảnh hưởng trực tiếp đến xương ổ răng. Người đang ốm hay mới ốm dậy không có đủ sức khỏe để chống chọi được sự đau đớn sau khi răng được lấy ra khỏi tổ chức rắn chắc của nó. Việc nhổ răng có thể ảnh hưởng xấu đến sức khỏe nói chung.

Khi nhổ răng thường gây chảy máu, sưng, viêm sốt. Nếu thực hiện nhổ răng số 8 khi ốm hay mới ốm dậy thì càng nguy hiểm hơn. Bởi sẽ gây nhiều biến chứng như viêm, lâu lành vết thương, không cầm được máu, thậm chí gây tổn thương vùng hàm mặt, nguy hiểm tính mạng khi không can thiệp kịp thời.

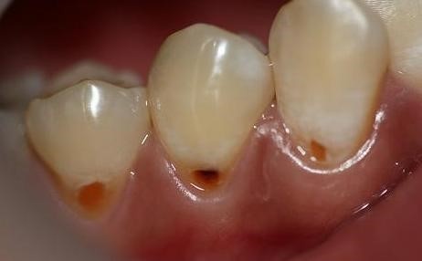
2. Răng đang bị viêm

ThS.BS Nguyễn Vũ Trung cho biết, cần tránh đi nhổ răng trong những thời điểm khi răng đang viêm.

Bệnh nhân nên làm các xét nghiệm máu, chụp X-quang theo chỉ định trước can thiệp. Trình bày các bệnh lý toàn thân cũng như các thuốc đang sử dụng hiện có cho bác sĩ nhổ răng biết. Trước ngày nhổ răng nên nghỉ ngơi, ngủ sớm, tránh các chất kích thích như bia, rượu, thuốc lá… Lấy vôi răng, vệ sinh răng miệng sạch sẽ trước nhổ răng để tránh nhiễm trùng.

3. Giai đoạn kinh nguyệt

Ngày “đèn đỏ” nồng độ hormone trong cơ thể tăng cao, gây sưng, viêm nướu, ảnh hưởng lớn đến việc khám và chẩn đoán bệnh răng miệng của nha sĩ. Thường các bác sĩ sẽ từ chối thực hiện các hoạt động điều trị như mài răng, nhổ răng, niềng răng… Nếu tiến hành làm sẽ đau đớn gấp nhiều lần so với bình thường, vết thương sẽ bị viêm, chảy máu nhiều, thậm chí không cầm được máu.

4. Phụ nữ mang thai

Những phụ nữ mang bầu có nguy cơ cao mắc các bệnh về răng miệng do lượng canxi trong cơ thể thay đổi liên tục. Tuy nhiên, trong thời gian mang thai không nên nhổ răng vì có thể gây nhiễm trùng huyết ảnh hưởng đến thai nhi. Nếu bị đau nhức răng hàm, bạn có thể uống thuốc kháng sinh do bác sĩ nha khoa chỉ định để giảm đau nhức, tuyệt đối không được tự ý sử dụng thuốc dễ ảnh hưởng đến thai nhi.

Theo lý giải của các chuyên gia nha khoa, có một số trường hợp chảy máu kéo dài sau nhổ răng là do nhổ răng cho những người mắc bệnh máu như: Bệnh ưa chảy máu, bệnh bạch cầu; do rách nát phần mềm, vỡ xương ổ răng nhiều; do còn sót lại u hạt ở cuống răng đã nhổ. Sau nhổ răng chảy máu kéo dài cần phải thăm khám cẩn thận, tỉ mỉ để phát hiện nguyên nhân gây chảy máu kéo dài.

Nếu do còn sót u hạt thì nạo huyệt ổ răng lấy hết u hạt, rửa sạch ổ răng và cho cắn gạc theo dõi. Nếu nhổ răng cho những bệnh nhân bị bệnh máu thì cần rửa sạch ổ răng, cầm máu bằng miếng gelaspen, nhét gạc tẩm iodofoc và cố định hàm. Sau đó kết hợp với chuyên khoa huyết học, xác định các yếu tố đông máu và điều trị theo chẩn đoán.

http://suckhoedoisong.vn/me-va-be/nhung-thoi-diem-tuyet-doi-tranh-di-nho-rang-20150810091319498.htm

Theo Dương Hải/Sức Khỏe Đời Sống

(Znews đặt lại tiêu đề bài viết)

Bạn có thể quan tâm