Ngày 5/3, ông Phan M. (1964, quê ở Quảng Ngãi) đến bệnh viện quận Thủ Đức, TP.HCM, khám bệnh, sau khi bị ho dữ dội, liên tục, kèm đờm... suốt gần 3 năm mà không rõ nguyên nhân. Trước đó, ông đi khám nhiều nơi nhưng chưa có kết quả.
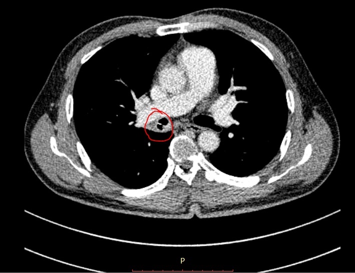
Các bác sĩ tại Bệnh viện quận Thủ Đức chỉ định bệnh nhân nhập khoa Nội tổng quát để theo dõi và điều trị. Bệnh nhân được yêu cầu chụp CT để tìm nguyên nhân. Kết quả ghi nhận vùng ở phế quản phải, nằm ở vị trí sát động mạch phổi có dị vật lạ không rõ bản chất, kèm viêm xung huyết quanh dị vật.
![]() |
| Hình ảnh nội soi xương cá trong đường thở của người đàn ông. Ảnh: BVCC. |
Các bác sĩ nhận định đây là trường hợp khó nội soi gắp dị vật. Nguy cơ tổn thương động mạch phổi phải rất cao, có thể dẫn đến xuất huyết, phải mổ mở lồng ngực để cầm máu, dễ gây nguy hiểm đến tính mạng người bệnh.
Bệnh nhân được chuyển lên phòng mổ để tiến hành nội soi gắp dị vật. Các bác sĩ và ekip chuẩn bị cả phương án phẫu thuật trong trường hợp xấu nhất. Ca nội soi đã thành công. Bệnh nhân cho biết ông khá bất ngờ khi biết nguyên nhân khiến mình bị ho suốt 3 năm qua. Ông kể một lần, trong lúc ăn cơm, ông nuốt phải xương cá. Nghĩ rằng xương cá sẽ xuống dạ dày, ông không để ý nữa.
Khoảng 4 tháng sau, ông M. có triệu chứng ho, đi khám một số nơi và uống thuốc nhưng không khỏi, chỉ được một thời gian lại bị tái phát. Tình trạng này kéo dài gần 3 năm.
![]() |
| Bác sĩ khám cho bệnh nhân M. Ảnh: BVCC. |
Gần đây, ông M. đến bệnh viện quận Thủ Đức khám và được chữa trị. Hiện, sức khỏe của ông đã tốt hơn, không còn bị ho như trước.
Từ vụ việc này, các bác sĩ khuyến cáo người dân khi bị sặc, có triệu chứng đau tức ngực, ho dữ dội, cần đi khám ngay, không nên làm các biện pháp cố lấy dị vật ra, nhất là khi nó đã vào đường hô hấp. Nếu để lâu, điều này có thể dẫn tới viêm phổi tái phát nhiều lần.
Ngoài ra, khi ăn uống, người dân cần tránh cười đùa, nhất là trẻ em. Phụ huynh không nên cho trẻ đùa nghịch khi ăn, hay chơi các đồ vật nhỏ vì các bé hay ngậm, mút, dễ rơi vào đường thở.

