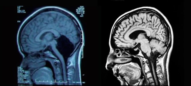
1. Người phụ nữ không có tiểu não vẫn sống bình thường
Một người phụ nữ ở tỉnh Sơn Đông, Trung Quốc, 24 tuổi, nhập viện sau khi bị chứng chóng mặt, buồn nôn. Tuy nhiên, kết quả chụp cắt lớp cho thấy cô không hề có tiểu não. Phần không gian trống được lấp đầy bởi dịch não tủy. Đây là trường hợp hy hữu trên thế giới.
Cô chia sẻ mãi đến 4 tuổi cô mới biết đứng một mình và khi lên 6 tuổi, cô có thể nói rõ ràng, dễ hiểu. Trong cuộc sống sinh hoạt hàng ngày, cô cũng gặp một ít rắc rối trong việc giữ thăng bằng và vấn đề sức khỏe nhẹ. Đến nay, cô đã lập gia đình và có một con gái.
![]() |
|
Ảnh chụp cho thấy người mất tiểu não. |
Theo các nhà khoa học, hiện tượng không có tiểu não ở người là vô cùng hiếm và hầu hết đều qua đời từ sớm. Tuy nhiên, cô gái người Trung Quốc 24 tuổi này là trường hợp khá đặc biệt, vì cô có thể sống sót trong khoảng thời gian khá dài, thậm chí lấy chồng, sinh con bình thường.
2. Người luôn nghe các bài hát vang vọng bên tai
Do mắc 1 căn bệnh hiếm gặp, người phụ nữ 65 tuổi, Anh luôn nghe những âm thanh kỳ lạ trong đầu và không thể ngủ được. Bà Susan Root, đã không thể ngủ yên suốt 4 năm nay vì lúc nào trong đầu bà cũng vang lên âm thanh của bài hát "How much is that Doggie in the Window" mà bà đã nghe cách đây 4 năm. Bình thường chồng của bà phải hét lên mỗi lần muốn gọi bà vì bà gần như không thể nghe thấy bất cứ điều gì ngoại trừ cho các bài hát trong đầu.
3. Đau nửa đầu chưa rõ nguyên nhân
Một số người trước khi lên cơn đau nửa đầu thường cảm thấy như có ánh đèn hoặc vệt sáng di chuyển liên tục trước mắt. Một số trường hợp ngoại lệ, bệnh nhân có thể nhìn thấy hào quang, nhưng sau đó không có biểu hiện cơn đau nửa đầu hay bất kỳ loại đau đầu nào.
Các chuyên gia cho rằng đây là bệnh mang tính di truyền. Tuy nhiên vẫn có nhiều trường hợp gặp chứng đau nửa đầu mà không thể xác định được nguyên nhân.
|
Ảnh minh họa. |
4. Cậu bé không biết đói
Sau khi ngủ dậy, cậu bé Landon Jones, 12 tuổi, đến từ tiểu bang Iowa, Mỹ giật mình khi phát hiện bệnh lạ. Cơ thể cậu không còn cảm nhận được no hay đói mặc dù cậu vẫn nếm, nuốt và tiêu hóa thực phẩm bình thường. Trải qua nhiều lần xét nghiệm, các bác sĩ vẫn chưa thể chẩn đoán chính xác căn bệnh và tìm ra phương thức can thiệp hiệu quả cho Landon.
5. Tim ngừng đập 45 phút vẫn sống lại
Sản phụ Ruby Graupera-Cassimiro, 40 tuổi, bang Florida, Mỹ ngay sau khi sinh con bằng phương pháp mổ, các bác sĩ hốt hoảng vì tim của bà đã ngừng đập. Bất ngờ đã xảy ra, 45 phút sau khi sản phụ “qua đời”, bà đã sống lại.
Các chuyên gia y khoa thế giới vẫn chưa thể giải thích nguyên nhân khiến tim của Ruby đập trở lại. Theo suy đoán, do chức năng phổi không hoạt động, máu không lưu thông, não không nhận đươc máu trong 45 phút nên khả năng tư duy và nhận thức của bệnh nhân đã giảm. Nhưng sau khi bà tỉnh lại, các bác sĩ kiểm tra và phát hiện hoạt động tư duy của bà vẫn không hề thay đổi.
6. 200 bé gái phát bệnh sau khi viêm vắc xin HPV
Vào tháng 5/2014 tại El Carmen, Colombia, 200 bé gái phải nhập viện cấp cứu vì có cùng triệu chứng buồn nôn, đau bụng, và tê ở tay. Điều gì đã gây ra sự trùng hợp kỳ lạ trên quy mô rộng như vậy, sau khi các bé được tiêm vắc xin ngừa HPV?
Đây có thể là do tác dụng phụ từ vắc xin hay dịch bệnh tâm lý bất thường. Tuy nhiên, chưa có kết luận rõ ràng, chính thức. Các nhà khoa học vẫn chưa lý giải được sự việc này.
7. Người phụ nữ phát ốm mỗi khi nghe giọng hát của ca sĩ Ne-Yo
Cô Zoe Fennessy, 26 tuổi tại Nottinghamshire (Anh), bị nôn mửa, cơ thể tê cứng và lên cơn động kinh mỗi khi nghe giọng hát cao vút của nam ca sĩ Ne-yo dù chỉ là vài giây ngắn ngủi.
![]() |
|
Ảnh minh họa. |
Lần đầu tiên cô có triệu chứng căn bệnh lạ này là vào năm 2006. Đến nay, bệnh vẫn chưa có dấu hiệu giảm. Các nhà khoa học gọi đây là bệnh động kinh âm nhạc, chưa xác định được lý do.
8. Bé trai sinh non dễ tử vong hơn bé gái
Đầu năm 2014, các nhà nghiên cứu Anh khẳng định trẻ trai sinh non có nhiều khả năng chết yểu hơn trẻ gái. Trong khi các nhà khoa học tin rằng sự chênh lệch này là kết quả của sinh học, nhưng vẫn chưa xác định chính xác nguyên nhân.
9. Người đàn ông có trái tim xoay 90 độ
Một người đàn ông 48 tuổi có trái tim tự xoay 90 độ sau vụ tai nạn xe máy ở Italy. Bên trong cơ thể, trái tim của người đàn ông tự xoay chuyển hướng sang phải. Điều khác thường, độc nhất vô nhị ở trường hợp này là trái tim đã tự quay trong khi bệnh nhân vẫn tỉnh táo.
Các bác sĩ đã phát hiện những tổn thương ở lồng ngực của người đàn ông vào thời điểm xảy ra tai nạn đã khiến không khí rò rỉ khỏi hai buồng phổi và tích tụ trong khoang ngực. Điều này đã tác động làm điều chuyển trái tim sang phải. Khoảng 24 tiếng sau đó, các bác sĩ đã can thiệp và đưa trái tim trở về vị trí ban đầu.
10. Sau tai nạn, một người Úc nói được tiếng Hoa
Một nam thanh niên người Úc, Ben McMahon, 22 tuổi, tỉnh dậy sau cơn hôn mê vì tai nạn xe hơi nghiêm trọng, anh ta đã quên một phần tiếng Anh, tiếng mẹ đẻ của mình. Tuy nhiên, Ben McMahon lại nói thành thạo tiếng Trung. Trước đó, Ben chỉ học chút ít tiếng Hoa ở trường trung học và không thể nói lưu loát ngôn ngữ này. Hiện Ben đã sang Trung Quốc, sinh sống tại Thượng Hải.
Vẫn chưa có lý do chính xác lý giải về trường hợp của Ben. Tuy nhiên, các bác sĩ của Ben cho rằng đây là hiện tượng “bilingual aphasia”. Theo đó những ngôn ngữ khác nhau được lưu giữ tại các vùng não khác nhau và khi vùng ngôn ngữ nào bị thương tổn thì có thể chuyển sang vùng lưu giữ ngôn ngữ khác.
Nội dung được thực hiện dựa trên tham khảo nguồn tin của tạp chí y tế Medical Daily. Là tạp chí uy tín tại Mỹ về các vấn đề y tế và khoa học.

