Với phương pháp này, bệnh nhân trong độ tuổi sinh nở vẫn có thể mang thai an toàn.
Thủ thuật ít xâm lấn, không phẫu thuật
Chị H.T.M.T. (48 tuổi, Tây Ninh) bị rong kinh và táo bón kéo dài. Khi khám sức khỏe tại Bệnh viện FV, các bác sĩ phát hiện chị T. có khối u xơ tử cung 9 cm, nên đề nghị phẫu thuật cắt bỏ, tránh nguy cơ u phát triển không kiểm soát.
Sợ trải qua cuộc mổ nhiều đau đớn, chị muốn tìm phương pháp điều trị nhẹ nhàng hơn. Thấu hiểu mong muốn của bệnh nhân, các bác sĩ giới thiệu phương pháp can thiệp nội mạch (tắc mạch). Kỹ thuật này sẽ cắt đi nguồn dinh dưỡng nuôi khối u xơ tử cung, để u bị bỏ đói và tự teo nhỏ, không cần phẫu thuật.
|
| Bác sĩ chuyên khoa I Huỳnh Hữu Danh (phải) thực hiện thủ thuật tắc mạch điều trị u xơ tử cung bằng máy chụp mạch DSA. |
Thủ thuật diễn ra trong phòng Cathlab với sự hỗ trợ của máy chụp mạch số hóa xóa nền DSA. Bác sĩ luồn ống thông từ động mạch đùi đến mạch máu nuôi khối u, sau đó bơm chất làm tắc động mạch trong tử cung, cắt đứt nguồn dinh dưỡng nuôi khối u. Kỹ thuật này không cần gây mê, thay vào đó chỉ gây tê vị trí luồn ống thông vào cơ thể. Quá trình thực hiện kéo dài khoảng 1 tiếng, được thực hiện bởi BSCKI Huỳnh Hữu Danh, khoa Chẩn đoán hình ảnh và Can thiệp Điện quang, Bệnh viện FV.
Bệnh nhân phục hồi tốt sau thủ thuật, không đau đớn và được xuất viện ngày hôm sau. Tái khám sau 1 tuần, chị T. cho biết chứng táo bón, rong kinh khỏi hẳn.
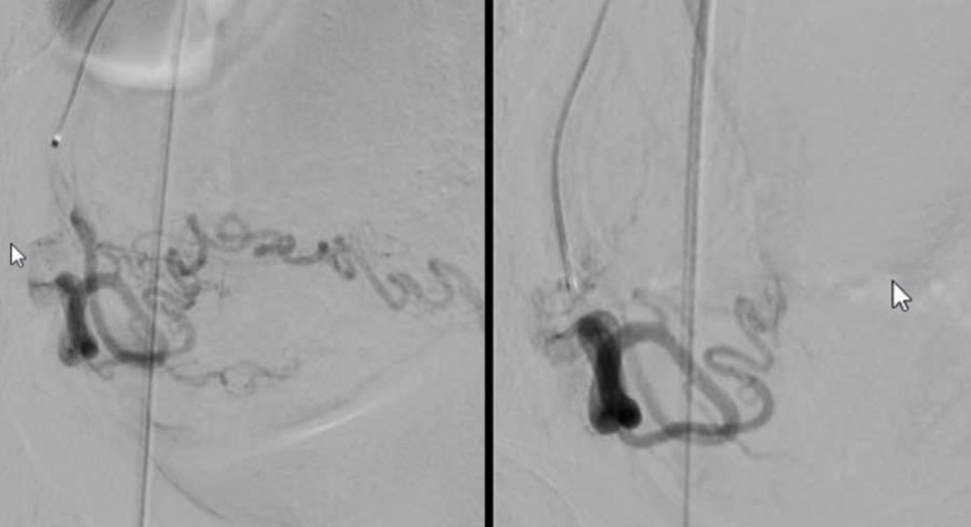
![]() ![]() |
Hình trước và sau khi thực hiện thủ thuật nút mạch tử cung bên phải - trái. |
“Khối u to chèn ép đường đại tiện gây táo bón, ngoài ra khiến bệnh nhân dễ bị xuất huyết nên có hiện tượng rong kinh. Do vậy, sau khi thực hiện thủ thuật tắc mạch, khối u teo nhỏ và không còn chèn ép, theo đó các triệu chứng cũng được cải thiện”, bác sĩ Danh giải thích.
Trường hợp nào có thể áp dụng thủ thuật tắc mạch?
Theo bác sĩ Huỳnh Hữu Danh, tắc mạch được ứng dụng rộng rãi trong điều trị khối u bị tăng sinh mạch máu như u xơ tử cung, u gan, u tuyến tiền liệt, bệnh lý dị dạng mạch máu.
“Đối với u xơ tử cung, phương pháp này được chỉ định trong những trường hợp khối u có kích thước dưới 10 cm, với triệu chứng lâm sàng như đau bụng, táo bón, chảy máu âm đạo”, bác sĩ Danh cho hay.
Mục đích chính của thủ thuật can thiệp nội mạch là làm khối u ngừng phát triển và teo nhỏ, lúc này bệnh nhân có thể sống chung với nó. Ưu điểm của phương pháp là thực hiện nhanh, không cần phẫu thuật, xâm lấn tối thiểu. Nhờ đó, chức năng tử cung vẫn nguyên vẹn sau khi thực hiện thủ thuật, đồng thời cải thiện triệu chứng do u xơ gây ra.
|
| Khoảng 30% phụ nữ trên 30 tuổi mắc U xơ tử cung. |
U xơ tử cung là bệnh lý xảy ra phổ biến ở nữ giới, chiếm tỷ lệ khoảng 30% ở nhóm 30 tuổi trở lên. Theo nhiều nghiên cứu, u xơ tử cung phát triển do sự gia tăng estrogen trong cơ thể. Tuy là bệnh lý lành tính, nếu không được phát hiện và điều trị kịp thời, bệnh sẽ ảnh hưởng nghiêm trọng đến sức khỏe và chất lượng cuộc sống, giảm khả năng thụ thai. Do vậy, nữ giới, nhất là trong độ tuổi sinh sản, nên đi khám tầm soát định kỳ để kịp thời phát hiện và điều trị u xơ tử cung, bảo tồn thiên chức làm mẹ.
|
| Bác sĩ Huỳnh Hữu Danh tư vấn cho bệnh nhân thủ thuật can thiệp nội mạch điều trị u xơ tử cung. |
Bác sĩ Danh đánh giá thủ thuật can thiệp nội mạch là phương pháp điều trị kỹ thuật cao, ít xâm lấn với ưu điểm vượt trội: An toàn, ít đau, hạn chế biến chứng, thời gian hồi phục nhanh và giảm thời gian nằm viện, chi phí rẻ hơn so với phẫu thuật. Hiện, thủ thuật can thiệp nội mạch được bảo hiểm y tế nhà nước chi trả với mức hỗ trợ lên đến 50 triệu đồng.
Để biết thêm thông tin về thủ thuật can thiệp nội mạch, độc giả có thể liên hệ số điện thoại02854113333 hoặc đến trực tiếp số 6 Nguyễn Lương Bằng, quận 7, TP.HCM.

