Bạn có thể chuyển sang phiên bản mobile rút gọn của Tri thức trực tuyến nếu mạng chậm. Đóng

Chi chít nang sán ở não và cơ thể một người bệnh

Người phụ nữ 77 tuổi được bác sĩ phát hiện có hàng loạt nang sán dây lợn vôi hóa trong não và mô dưới da, hậu quả của nhiễm ký sinh trùng từ nhiều năm trước.

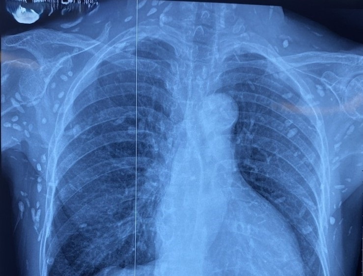
Nhiều nốt cản quang dưới da thành ngực - bụng và chi trên. Ảnh: BVCC.

ThS.BS Nguyễn Sỹ Thấu, Khoa Hồi sức Truyền nhiễm, Viện Lâm sàng các bệnh Truyền nhiễm, Bệnh viện Trung ương Quân đội 108, cho biết vừa tiếp nhận một trường hợp nhiễm ấu trùng sán dây lợn hiếm gặp ở người phụ nữ 77 tuổi.

Bệnh nhân được chuyển lên từ tuyến trước trong tình trạng rối loạn ý thức, đe dọa suy hô hấp. Kết quả chụp CT sọ não và X-quang ngực cho thấy nhiều nốt cản quang trong nhu mô não và dưới da vùng ngực - bụng, gợi ý tổn thương do sán dây lợn.

Theo ThS.BS Nguyễn Sỹ Thấu, khoa Hồi sức Truyền nhiễm, một số u cục nhỏ có thể sờ thấy dưới da vùng ngực và cánh tay của bệnh nhân. Dù xét nghiệm kháng thể IgM với sán dây lợn âm tính, hình ảnh X-quang cho thấy bệnh nhân đã từng nhiễm ấu trùng sán dây lợn, sau đó các nang sán thoái hóa, vôi hóa và tồn tại lâu dài trong mô.

Hiện bệnh nhân này được điều trị theo phác đồ bệnh chính, đáp ứng tốt và xuất viện, tiếp tục theo dõi điều trị tại tuyến dưới.

Sán dây lợn (Taenia solium) là ký sinh trùng có thể gây bệnh cho người. Sán trưởng thành ký sinh trong ruột, dài từ 2-7 m, có thể sống nhiều năm và đào thải đốt sán hoặc trứng qua phân.

Trứng sán có thể tồn tại vài tháng ngoài môi trường. Khi lợn ăn phải, trứng nở trong ruột non, xâm nhập vào máu rồi di chuyển đến cơ, hình thành nang sán (thường gọi là "hạt gạo"), dễ thấy trong thịt lợn bị nhiễm.

san day lon anh 1

Nhiều nốt cản quang trong nhu mô não của người bệnh.

"Con người nhiễm sán dây lợn khi ăn thịt lợn gạo chưa chín kỹ hoặc ăn rau sống dính trứng sán. Ấu trùng có thể đi vào não, mắt hoặc cơ, gây động kinh, rối loạn tâm thần - vận động, đau đầu, giảm thị lực, thậm chí đe dọa tính mạng", ThS.BS Nguyễn Sỹ Thấu nói.

Trong một số trường hợp, nang sán tự thoái hóa hoặc vôi hóa, để lại các nốt cản quang trên phim X-quang như trường hợp bệnh nhân nói trên.

ThS.BS Nguyễn Sỹ Thấu, Bệnh viện Trung ương Quân đội 108 khuyến cáo để phòng bệnh, người dân nên:

  • Ăn chín, uống chín, rửa tay sạch trước khi ăn.
  • Ấu trùng sán lợn chết khi đun sôi 2 phút, do đó không nên ăn thịt tái hoặc nem chua làm từ thịt lợn sống.
  • Người có yếu tố nguy cơ hoặc xuất hiện triệu chứng nghi ngờ nên đi khám sớm.
  • Trường hợp được chẩn đoán có sán trưởng thành trong ruột cần điều trị triệt để và quản lý chất thải, tránh lây nhiễm cho cộng đồng.

Mục Sức khỏe giới thiệu cuốn sách Tầng giếng sâu – cuốn sach mang tới cho người đọc một cái nhìn đầy đủ và sâu sắc hơn về những ảnh hưởng của "nghịch cảnh thời thơ ấu" (ACE) với sức khỏe tinh thần của con người.

Thu hồi số công bố 8 loại kem chống nắng Anessa, Skin Aqua

Công ty ASEAN xin thu hồi số tiếp nhận Phiếu công bố sản phẩm mỹ phẩm 8 sản phẩm Anessa, Skin Aqua do không còn kế hoạch kinh doanh.

Cách 'tổ sâu' ung thư phá hủy lá gan

Ung thư gan được xem là "kẻ giết người thầm lặng", khó điều trị và dễ tái phát. Bệnh tiến triển âm thầm, phác đồ phức tạp, chi phí cao khiến hành trình chữa trị thêm gian nan.

Thói quen ăn uống của nhiều người dễ gây tổn thương gan

Dù sống giữa đô thị hiện đại, thói quen ăn gỏi cá, rau sống hay thịt tái vẫn khiến nhiều người vô tình rước "vị khách không mời" là ký sinh trùng vào cơ thể.

Phương Anh

Bạn có thể quan tâm