Bạn có thể chuyển sang phiên bản mobile rút gọn của Tri thức trực tuyến nếu mạng chậm. Đóng

Hình ảnh phổi của bệnh nhân tử vong vì Covid-19

Các bác sĩ đã dốc hết sức chữa trị nhưng bệnh nhân 50 tuổi không qua khỏi vì nhiễm Covid-19 nặng. Hình ảnh CT phổi của người này có nhiều tổn thương tương tự dịch SARS năm 2003.

Nhóm bác sĩ tại Trung tâm Y tế thứ 5 của Bệnh viện Đa khoa PLA Bắc Kinh (Trung Quốc) đang nghiên cứu một ca tử vong vì Covid-19. Bệnh nhân 50 tuổi qua đời tại Trung Quốc vào ngày 27/1 vì virus corona sau 2 tuần điều trị, theo Bloomberg đưa tin.

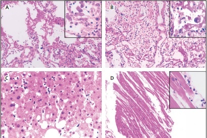
Bài viết đăng trên Tạp chí The Lancet cho biết tim bệnh nhân ngừng đập sau khi bị tổn thương phế nang. Đây những túi nhỏ như quả nho trong phổi giúp đưa oxy vào máu và loại bỏ carbon dioxide. Các xét nghiệm máu của bệnh nhân đã tử vong vì Covid-19 cho thấy “nồng độ” cao một loại tế bào chống nhiễm trùng trong các phần phổi bị tổn thương nghiêm trọng.

virus corona lay lan anh 1

Hình chụp tổn thương phổi bệnh nhân qua đời vì Covid-19. Ảnh: The Lancet.

Nghiên cứu trường hợp của bệnh nhân Trung Quốc đã cung cấp góc nhìn sâu sắc hơn về tác hại của virus corona với người nhiễm. Các phân tích như trên thực hiện khá khó khăn bởi dữ liệu của tử thi hoặc sinh thiết hầu như không có sẵn hoặc không được phép thâm nhập.

Trước đó, các bác sĩ tại Trung Quốc cho bệnh nhân điều trị bằng thuốc gồm: điều trị chống nhiễm trùng interferon alfa-2b, thuốc AIDS lopinavir - ritonavir, và kháng sinh moxifloxacin để ngừa nhiễm trùng thứ cấp. Ngoài ra, bác sĩ cũng chỉ định steroid methylprednisolone để điều trị tình trạng viêm phổi, khó thở và thiếu oxy trong máu.

Sau đó, bệnh nhân hạ sốt nhưng hơi thở yếu, nồng độ oxy trong máu giảm mạnh. Ngay lập tức, bệnh nhân được thông khí xâm lấn, ép lồng ngực và truyền adrenaline. Tuy nhiên, không may, ca cấp cứu thất bại, bệnh nhân qua đời vào 18h31 (theo giờ Bắc Kinh) ngày 27/1.

virus corona lay lan anh 2

Tổn thương phổi của bệnh nhân Covid-19 đã qua đời có nhiều tương đồng với nạn nhân của SARS năm 2003. Ảnh: Bloomberg.

Theo nghiên cứu của The Lancet, các triệu chứng bệnh lý của Covid-19 rất nhiều điểm tương đồng với SARS và MERS. Ngoài ra, mẫu sinh thiết gan của bệnh nhân cho thấy ông bị gan nhiễm mỡ độ trung bình.

Hình ảnh X-quang của bệnh nhân cho thấy phổi bị tổn thương nhanh và có một số điểm khác biệt giữa hai bên phổi. Ngoài ra, các thay đổi mô học trong tim khiến các nhà nghiên cứu đặt giả thuyết bộ phận này bị virus corona tàn phá.

Bác sĩ nhiễm virus corona nặng chia sẻ kinh nghiệm chống lại bệnh Là bệnh nhân nhiễm virus corona nặng, bác sĩ Yu Changping, ở Vũ Hán, Trung Quốc, cho biết cách điều trị tốt nhất là duy trì cơ thể khỏe mạnh và tinh thần lạc quan.

3 tuần chết đi sống lại của chàng trai nhiễm virus corona

Có những lúc cơn đau hành hạ, Tiger Ye ở Vũ Hán, Trung Quốc, tưởng chừng như mình sắp chạm mặt tử thần vì nhiễm virus corona.

Thiên Nhan

Bạn có thể quan tâm