Bệnh viện Đại học Y Hà Nội vừa tổ chức buổi hội chẩn trực tuyến liên quan ca mắc Covid-19 nặng tại Việt Nam. Tiến sĩ Đoàn Tiến Lưu, Phó trưởng khoa Chẩn đoán hình ảnh, Bệnh viện Đại học Y Hà Nội, cho biết người nhiễm SARS-CoV-2 trải qua những tổn thương phổi tăng dần theo thời gian. Dựa vào các mốc này, bác sĩ sẽ chủ động hơn trong phác đồ điều trị và tiên lượng bệnh.
|
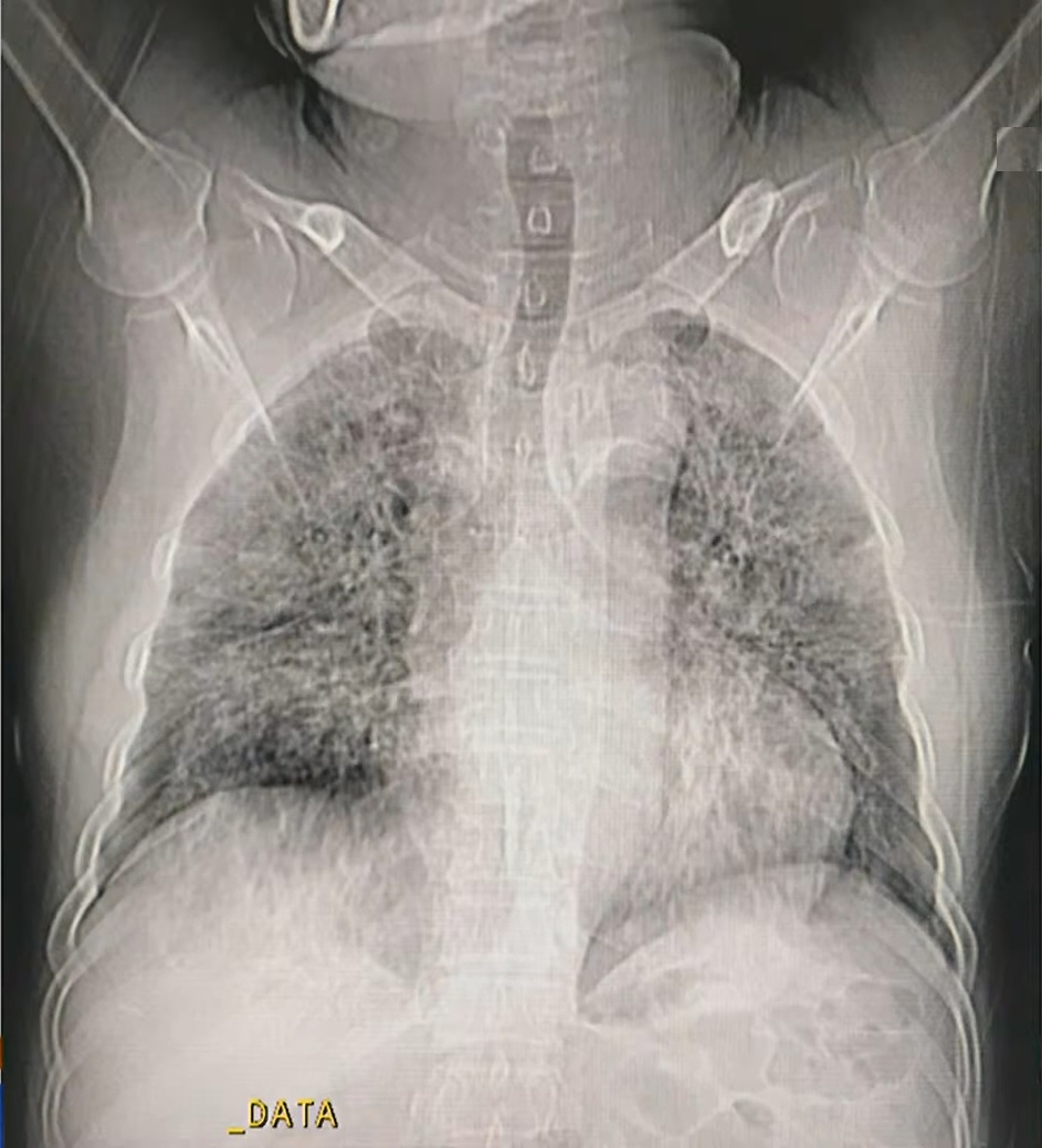
| Hình ảnh phổi của ca mắc Covid-19 thứ 867, các tổn thương cho thấy người này ở giai đoạn đỉnh bệnh. Ảnh: Bệnh viện Đại học Y Hà Nội. |
Ở giai đoạn sớm (0-4 ngày sau khi xuất hiện triệu chứng), X-quang phổi cho thấy kính mờ, hình lát đá, thùy tổn thương ít.
Đến ngày 5, phổi có kính mờ, hình lát đá lan rộng hai bên. Tình trạng này kéo dài đến ngày thứ 8 và được gọi là giai đoạn tiến triển.
Ở giai đoạn đỉnh bệnh (sau 10-13 ngày), phổi của người mắc Covid-19 xuất hiện các vùng đông đặc. Đây cũng là thời điểm cơ quan này bị tổn thương nhiều nhất.
Từ ngày thứ 14 trở đi, nếu bệnh nhân nặng, phổi tiếp tục đông đặc hơn, thậm chí kèm bội nhiễm lan tỏa hai bên. Với những người chữa trị hiệu quả, thời gian này phổi sẽ bước vào giai đoạn thoái triển, dải xơ dưới màng phổi giảm, giãn phế quản ngoại vi.
Trong các ca mắc Covid-19 mới ở Việt Nam, một số bệnh nhân trước khi công bố cho kết quả xét nghiệm âm tính 2 lần. Bệnh nhân 812 ở Bắc Từ Liêm, Hà Nội, âm tính 3 lần khi xét nghiệm rRT-PRC trước khi có kết luận mắc Covid-19.
TS Lưu dẫn nghiên cứu của nhóm nhà khoa học Hà Lan cho thấy phân độ nghi ngờ Covid-19 dựa vào hình ảnh cắt lớp vi tính. Bác sĩ có thể kết luận người mắc Covid-19 khi chưa xét nghiệm rRT-PCR hoặc kết quả âm tính.
![]() ![]() ![]() ![]() |
Hình ảnh chụp cắt lớp vi tính một số phân độ tổn thương phổi của người mắc Covid-19. Ảnh: Bệnh viện Đại học Y Hà Nội. |
6 phân độ (CO-RADS) nghi ngờ được xếp theo cấp độ tăng dần, trong đó, ở cấp độ 6, chắc chắn bệnh nhân nhiễm SARS-CoV-2. Cụ thể:
- CO-RADS 1: Phổi bình thường, không tổn thương.
- CO-RADS 2: Tổn thương nhưng ít và hình ảnh phổi đặc trưng cho những bệnh lý nhiễm trùng khác. Nguy cơ mắc Covid-19 thấp.
- CO-RADS3: Tổn thương có thể xảy ra ở bệnh nhân Covid-19 hoặc các bệnh phổ biến khác. Mức độ nghi ngờ trung bình.
- CO-RADS 4: Phổi có tổn thương kính mờ, dày tổ chức kẽ ở hai bên nhưng chưa đặc trưng ở bệnh nhân nhiễm SARS-CoV-2. Tuy nhiên, tỷ lệ lây nhiễm rất cao.
- CO-RADS 5: Nguy cơ rất cao. Xét nghiệm rRT-PCR lần một có thể âm tính nhưng gần như chắc chắn người này mắc Covid-19. Do đó, dựa trên cắt lớp vi tính phổi cần xét nghiệm lại cho bệnh nhân. Phổi của nhóm này có hình ảnh kính mờ, dày tổ chức kẽ, lát gạch, phân bố ở ngoại vi và đáy phổi.
- CO-RADS 6: Chắc chắn bệnh nhân mắc Covid-19, xét nghiệm rRT-PRC sẽ cho kết quả dương tính.
Dịch Covid-19
Phát hiện mới về hậu quả của Covid-19
Nghiên cứu mới cho thấy Covid-19 gây hại cho hệ vi sinh vật đường ruột, có thể dẫn đến các vấn đề sức khỏe khác như đầy hơi và trào ngược axit.
Covid-19 vẫn gây chết người nhưng đã thay đổi về nhân khẩu học
Bang California, Mỹ, đang có sự thay đổi về nhân khẩu học trong số ca tử vong. Theo các chuyên gia, xu hướng này tương tự với toàn nước Mỹ và nhiều nước khác trên thế giới.
Phát hiện virus bí ẩn giống SARS-CoV-2 ở Nga
Với protein gai có thể dễ dàng bám vào tế bào người như nCoV, loại virus này khiến các nhà khoa học lo lắng. Đặc biệt, vaccine và kháng thể Covid-19 không có tác dụng với nó.
Đại dịch mới ở những người khỏi Covid-19
Nghiên cứu mới cho thấy ngay cả người nhiễm nCoV nhẹ cũng có nguy cơ bị đau tim, đột quỵ cao hơn. Điều này dấy lên mối lo về đại dịch bệnh tim mạch ở những người khỏi Covid-19.
Triệu chứng nhiễm biến chủng BA.5
Về cơ bản, người nhiễm BA.5 sẽ có các triệu chứng như những chủng Covid-19 trước đó. Song, tần suất gặp phải của từng triệu chứng lại khác nhau.



