Bạn có thể chuyển sang phiên bản mobile rút gọn của Tri thức trực tuyến nếu mạng chậm. Đóng

Phẫu thuật thành công ca bệnh thai trong thai hiếm gặp

Bệnh nhi 58 ngày tuổi nhập viện trong tình trạng bụng ngày càng to nhanh. Các bác sĩ Bệnh viện Nhi Thanh Hóa cho biết đây là trường hợp thai trong thai hiếm gặp.

Trước đó, Bệnh viện Nhi Thanh Hóa tiếp nhận bệnh nhân B.T.K.L., 58 ngày tuổi, nặng 4,5 kg, ở xã Ngọc Trung, Thạch Thành. Bệnh nhân L. vào viện với lý do gia đình phát hiện bụng ngày càng to nhanh. Khai thác tiền sử bệnh nhân cho thấy mẹ bệnh nhân 28 tuổi, mang thai 38 tuần, bệnh nhân là con thứ 2, đẻ thường. Trong thời gian mang thai, siêu âm định kỳ nhưng không phát hiện thấy bất thường.

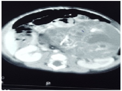
Thăm khám lâm sàng phát hiện bệnh nhân có khối u vị trí dưới hạ sườn phải, không đau, ít di động, kích thước khoảng 13 x 10 cm. Hình ảnh chụp MRI ổ bụng cho thấy một khối u lớn sau phúc mạc, nhiều khả năng là thai nhi, khối u vượt quá đường giữa, đè ép thận trái.

Thai trong thai hiem gap anh 1

Hình ảnh thai trong thai qua phim chụp MRI. Ảnh: BVCC.

Bệnh nhân được phẫu thuật, đường mổ dưới hạ sườn trái, ngoài phúc mạc. Việc bóc tách, bộc lộ khối u khó khăn do màng ối dính với phúc mạc, nhất là cuống mạch thận trái. Khối u có thể tích 13 x 10 x 9 cm. Trong lúc mổ, kíp phẫu thuật phát hiện thấy màng ối, nước ối, đầu, thân, bàn chân… nhưng không thấy cuống rốn, nhau thai.

Kết quả giải phẫu bệnh cho thấy khối u bao gồm đầu, cột sống, xương các chi, da, hệ thống tiêu hóa, buồng trứng…

Sau mổ bệnh nhân ổn định và được ra viện 7 ngày sau phẫu thuật. Hiện tại, bệnh nhân khỏe mạnh, tăng cân nhanh.

Thai trong thai là bệnh lý hiếm gặp với tỷ lệ mắc 1/500.000 ca sinh. Nhà giải phẫu học người Đức Johann Friedrich Meckel lần đầu tiên mô tả về thai trong thai vào cuối thế kỷ 18. Mặc dù các nhà khoa học phỏng đoán rằng đây là hệ quả của khối u quái phát triển mức độ cao - loại khối u cấu tạo từ mô tổ chức của nơi khác, như răng và xương, Meckel đã nhận ra khối u thực ra là một bào thai sinh đôi đang phát triển. Thông thường, cả hai bào thai của thai ký sinh đều sẽ chết trước khi sinh, nhưng đôi khi thai ký sinh tồn tại trong thai chủ trong nhiều năm sau khi đẻ.

Theo The Embryo Project Encyclopedia, để được phân loại là thai trong thai và không phải là u quái, khối u phải có bằng chứng về tổ chức cơ thể, như có các đốt sống, mầm chi hoặc mô nội tạng.

Mặc dù không phải là tình trạng nguy hiểm chết người, thai sinh đôi ký sinh có thể phát triển đủ lớn để gây biến chứng cho thai chủ. Khoảng 90% số trường hợp thai trong thai được phát hiện khi còn nhỏ và được phẫu thuật trước khi gây biến chứng. Khi thai ký sinh được lấy ra, thai chủ, dù ở độ tuổi nào, cũng thường sẽ hồi phục bình thường.

Thai nhi gần rơi ra ngoài, người phụ nữ mới biết mình mang bầu

Khi kéo chiếc váy lên, bác sĩ đã nhìn thấy đầu thai nhi trồi ra cửa âm đạo của Tiểu Viên (28 tuổi, Trung Quốc).

https://suckhoedoisong.vn/bv-nhi-thanh-hoa-phau-thuat-thanh-cong-ca-benh-hiem-gap-thai-trong-thai-n166716.html

Theo BS Bùi Văn Hán / Sức Khỏe Đời Sống

Bạn có thể quan tâm