Bạn có thể chuyển sang phiên bản mobile rút gọn của Tri thức trực tuyến nếu mạng chậm. Đóng

Phổi đông đặc sau 3 ngày sốt, đau họng

Người đàn ông bị sốt, ho, đau họng trong 3 ngày, điều trị bằng thuốc cảm cúm thông thường nhưng không giảm.

Người bệnh mắc cúm A lúc nhập viện điều trị tại khoa Bệnh nhiệt đới, Bệnh viện đa khoa tỉnh Phú Thọ. Ảnh: BVCC.

Ngày 29/1, bác sĩ chuyên khoa I Đặng Thị Thu Phương, Phó khoa Bệnh nhiệt đới, Bệnh viện đa khoa tỉnh Phú Thọ, cho hay người bệnh là ông L.V.C., 86 tuổi, ngụ TP Việt Trì, nhập viện trong tình trạng suy hô hấp, SpO2 (nồng độ oxy trong máu) còn 85%, phổi có thắt.

Ông C. có tiền sử tăng huyết áp, đái tháo đường. Ba ngày trước vào viện, ông xuất hiện sốt, ho, đau họng, ở nhà tự điều trị bằng thuốc cảm cúm thông thường nhưng không đỡ.

Qua khám lâm sàng, bác sĩ xác định ông C. dương tính cúm A, kết quả CT ngực cho thấy phổi đông đặc, có viêm. Các bác sĩ sử dụng thuốc kháng cúm Oseltamivir cho người bệnh, chống bội nhiễm bằng kháng sinh, thở oxy, khí dung.

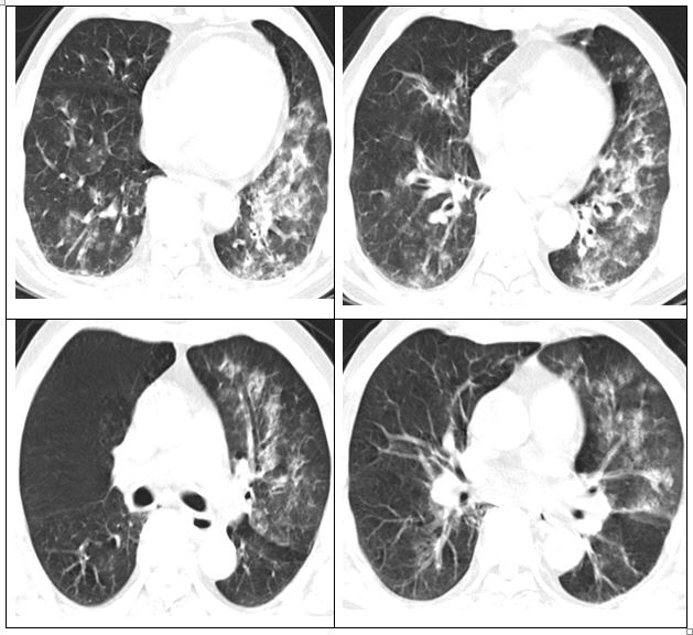
phoi dong dac vi cum anh 1

Hình ảnh phổi của người bệnh bị viêm lan toả và đông đặc. Ảnh: BVCC.

Sau một tuần, ông C. cải thiện tốt, hết sốt, giảm viêm long, hết khó thở và được xuất viện.

Thời gian qua, khoa Bệnh nhiệt đới, Bệnh viện đa khoa tỉnh Phú Thọ, tiếp nhận rất nhiều người bệnh đến điều trị trong tình trạng bệnh đã trở nặng, nhiều biến chứng trên phổi, cơ, não… Trong đó, nhiều trường hợp tự mua thuốc uống ở nhà, đến khi thấy bệnh trở nặng mới đến bệnh viện khám.

Cao điểm, có ngày khoa tiếp nhận khám 15 trường hợp nhiễm cúm A, có 8 người phải nhập viện, đặc biệt có 3 ca suy hô hấp, viêm phổi nặng phải thở oxy hỗ trợ.

Bác sĩ chuyên khoa I Đặng Thị Thu Phương cho hay với những trường hợp trên, nếu phát hiện sớm sẽ giảm việc nhập viện, rút ngắn thời gian điều trị, hạn chế bệnh tiến triển nặng và đỡ tốn kém hơn rất nhiều.

Bác sĩ khuyến cáo mọi người không nên chủ quan với bệnh cúm A, nhất là khi vào mùa dịch. Những người có nguy cơ cao như người già, trẻ nhỏ, phụ nữ có thai, người có bệnh lý nền, nhân viên y tế tiếp xúc trực tiếp với nguồn bệnh… cần chủ động phòng ngừa bệnh.

Người dân có thể tiêm vaccin phòng bệnh hoặc đeo khẩu trang khi tiếp xúc với người nhiễm và nghi nhiễm cúm, sát khuẩn tay, không tụ tập đông người khi có dịch lưu hành.

Khi có những dấu hiệu nghi nhiễm cúm A, người dân cần đến cơ sở y tế để được thăm khám, phát hiện và điều trị bệnh kịp thời, không tự ý điều trị để tránh những biến chứng đáng tiếc có thể xảy ra.

Cuốn sách "Ăn thông minh, sống bình yên" của tác giả Makita Zenji giải thích về lý do càng nhiều tuổi càng cần hạn chế đường một cách nghiêm ngặt. Ngoài ra, cuốn sách cũng thông tin về các vấn đề lớn của chỉ số đường huyết; về cơ chế của các vấn đề béo phì, lão hóa và bệnh tật, đồng thời cung cấp các kiến thức, phương pháp, chế độ ăn uống hợp lý giúp bạn đảm bảo chỉ số đường huyết, tránh các bệnh liên quan đến đường huyết...

Dấu hiệu cảnh báo nhiễm ký sinh trùng

Điều kiện khí hậu nhiệt đới nóng ẩm, mưa nhiều cùng thói quen sinh hoạt, ăn uống khiến nguy cơ nhiễm ký sinh trùng cao hơn.

Nguyễn Thuận

Bạn có thể quan tâm