Bạn có thể chuyển sang phiên bản mobile rút gọn của Tri thức trực tuyến nếu mạng chậm. Đóng

Tân Hoa Xã cảnh báo nguy cơ virus corona lây qua đường tiêu hóa

Không chỉ mẫu lấy từ vòm họng cho ra kết quả dương tính với 2019-nCoV, chất thải của người bệnh cũng chứa mầm bệnh tương tự.

Thông Tấn Xã Việt Nam dẫn nguồn tin từ Tân Hoa Xã cho biết các chuyên gia từ Bệnh viện Renmin (Đại học Vũ Hán) và Viện Virus Vũ Hán (thuộc Viện Hàn lâm Khoa học Trung Quốc) cảnh báo virus corona có thể lây truyền qua đường tiêu hóa.

Nghiên cứu của nhóm tác giả cho thấy axit nucleic trong phân của bệnh nhân và bệnh phẩm trực tràng. Trước đó, những bệnh nhân dương tính với virus corona có một số triệu chứng như tiêu chảy thay vì sốt.

Kết quả này đặt giả thuyết ngoài truyền nhiễm qua tiếp xúc hoặc đường hô hấp, virus corona còn có khả năng lây truyền qua đường phân - miệng nhất định.

Theo một nghiên cứu khác được công bố trên Tạp chí Y học New England (Anh), virus corona đã được phát hiện trong phân lỏng của bệnh nhân đầu tiên ở Mỹ dương tính với 2019-nCoV. Như vậy, có thể, virus này tồn tại và lây lan qua chất thải của người bệnh, nhóm tác giả của Bệnh viện Nhân dân số 3 ở Thâm Quyến (Trung Quốc) cho biết.

Phát hiện này có thể cung cấp mối liên hệ còn thiếu về cách thức lây lan virus từ động vật sang người và từ người sang người. Đây chính là mảnh ghép còn bỏ ngỏ trong những nghiên cứu về virus viêm phổi lạ.

corona anh 1

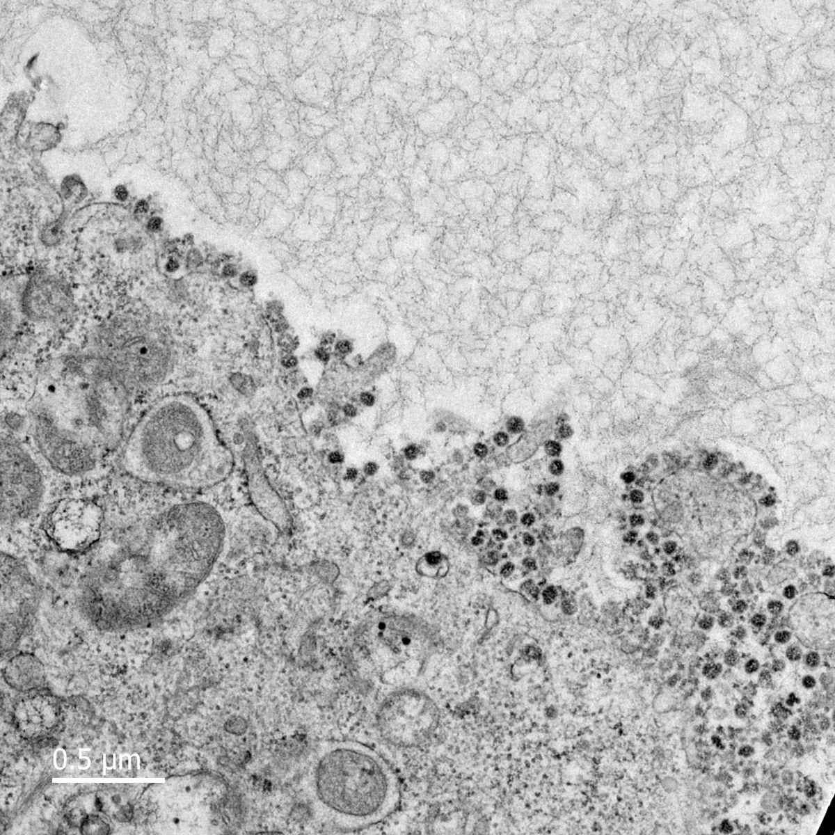
Hình ảnh của virus corona được nhìn dưới kính hiển vi. Ảnh: Đại học Hong Kong (Trung Quốc).

Giả thuyết của các nhà nghiên cứu là lời cảnh báo bác sĩ tập trung việc phát hiện các dấu hiệu trong dạ dày và xử lý phân của bệnh nhân đúng cách, China Daily nhấn mạnh.

Khi dịch bắt đầu bùng phát, các nhà khoa học cho rằng virus mới lây lan qua các giọt chứa virus mà người bệnh ho hoặc hắt hơn. Dù vậy, vẫn có nhiều nghi vấn có một con đường lây lan khác khiến bệnh bùng phát nhanh.

Nhóm tác giả của Bệnh viện Nhân dân số 3 ở Thâm Quyến (Trung Quốc) cho biết họ đang tiến hành nghiên cứu sâu hơn về điều này bằng cách phân lập virus corona từ phân của người bệnh. Họ cũng kêu gọi người dân nên chú ý tới vệ sinh cá nhân bên cạnh việc đeo khẩu trang và rửa tay thường xuyên.

Bloomberg đưa tin thêm Fang Li, khoa Y sinh (Đại học Minnesota), cho biết virus corona liên kết với các thụ thể protein có hình dạng khác biệt trong cơ thể. Các thụ thể này thường ở phổi, ruột, khiến các cơ quan trở thành mục tiêu tấn công của virus.

Theo nghiên cứu năm 2003 của Bộ Môi trường Đan Mạch, hơn 130 loại virus gây bệnh khác nhau chứa trong phân của người. Các cuộc điều tra về động vật hoang dã được thực hiện bởi Liên minh EcoHealth (Trung Quốc) và các nơi khác trên thế giới cũng đã tìm thấy phân của động vật chứa virus corona là hiện tượng phổ biến.

Ngoài ra, nhiều loại virus corona khác được tìm thấy có thể phát triển trong hệ hô hấp, đường tiêu hóa. Chúng được gọi là virus pneumoenteric.

Năm 2003, 10-20% bệnh nhân mắc hội chứng hô hấp cấp tính nặng (SARS) có triệu chứng tiêu chảy, theo thống kê của Trung tâm Kiểm soát và Phòng ngừa dịch bệnh Mỹ. Thêm vào đó, các bác sĩ cũng phát hiện tiêu chảy là một trong những biểu hiện của các ca nhiễm virus corona tại Trung Quốc.

Cặp vợ chồng nhiễm virus corona được chữa khỏi ở Vũ Hán Ngày 31/1, Wan Tiansheng và vợ đã xuất viện sau khi được các bác sĩ ở Bệnh viện Trung Nam (Vũ Hán, Trung Quốc) chữa khỏi bệnh viêm phổi cấp.

Chưa có cơ sở kết luận virus corona lây truyền từ mẹ sang con

Đại dịch corona đang lây lan nhanh toàn cầu. Các nhà khoa học vẫn chưa thể kết luận về việc chủng mới có lây truyền từ mẹ đang mang thai sang con hay không.

Thiên Nhan

Bạn có thể quan tâm