Bạn có thể chuyển sang phiên bản mobile rút gọn của Tri thức trực tuyến nếu mạng chậm. Đóng

Thay khớp không đặt ống dẫn lưu, bệnh nhân có thể tập đi trong ngày

Kỹ thuật thay khớp không cần đặt ống dẫn lưu giúp người bệnh ít đau sau mổ, có thể tiếp đất ngay trong ngày để tập vật lý trị liệu, hồi phục vận động nhanh.

Cách đây một năm, anh H.V.Đ. (38 tuổi, Nha Trang) bị đau chân, thăm khám hơn 20 bác sĩ nhưng không khỏi. Vì cơn đau hành hạ, anh không thể điều khiển chân và phải nghỉ việc. Nhờ người quen giới thiệu, anh Đ. quyết định vào TP.HCM, đến Bệnh viện FV điều trị.

Tiếp đất sớm sau phẫu thuật thay khớp háng

Qua thăm khám, TS.BS Lê Trọng Phát, Trưởng khoa Chấn thương chỉnh hình, chẩn đoán anh Đ. bị chứng hoại tử chỏm xương đùi cả hai chân. Đây là hiện tượng lớp sụn bọc chỏm xương đùi không nhận đủ dinh dưỡng, lâu ngày bị thoái hóa và teo lại. Khi khớp không trơn, dính khớp, người bệnh sẽ cảm thấy đau khi cử động. Ngoài ra, anh Đ. còn mắc bệnh gout và vảy nến, gan thận bị ảnh hưởng do dùng thuốc lâu năm.

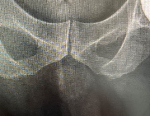
Benh vien FV anh 1

Hình chụp X-quang của bệnh nhân H.V.Đ. với chỏm xương đùi bị hoại tử.

Bác sĩ Lê Trọng Phát - người từng có hơn 30 năm kinh nghiệm phẫu thuật chấn thương chỉnh hình tại các bệnh viện uy tín của Đức - đã đích thân mổ thay khớp phải cho bệnh nhân, cũng là bên bị nặng hơn. Ca phẫu thuật diễn ra suôn sẻ trong vòng 1 giờ. Chiều cùng ngày, bệnh nhân được chỉ định tiếp đất tập vật lý trị liệu. Theo bác sĩ Phát, do không đặt ống dẫn lưu nên bệnh nhân có thể tiếp đất ngay trong ngày để hồi phục chức năng vận động.

Sau phẫu thuật, cảm giác đau đớn của bệnh nhân đã biến mất, quá trình hồi phục khả quan. “Tôi cảm thấy may mắn vì đã tin tưởng chọn điều trị tại Bệnh viện FV”, anh tâm sự.

Benh vien FV anh 2

Bác sĩ Lê Trọng Phát nhiều lần phẫu thuật thay khớp thành công mà không cần đặt ống dẫn lưu.

Kỹ thuật hiện đại, kết quả điều trị tốt

Cách đây 15-20 năm, các bác sĩ trên thế giới từng đặt ra câu hỏi: Vết thương sau khi mổ không đặt ống dẫn lưu thì có gì khác so với việc đặt ống dẫn lưu?

Trả lời câu hỏi này, bác sĩ Phát cho biết ống dẫn lưu là ống nhựa được đưa vào vị trí mổ, giúp máu và dịch thừa thoát ra ngoài sau phẫu thuật thay khớp. Ngoài tiềm ẩn nguy cơ nhiễm trùng, việc này gây ma sát trong khớp, có thể làm mạch máu bị vỡ và chảy máu, gây đau đớn cho người bệnh. Thông thường, bệnh nhân phải nằm trên giường 1-2 ngày sau mổ. Tuy nhiên, đây lại là khoảng thời gian quan trọng để người bệnh lấy lại chức năng vận động.

Benh vien FV anh 3

Bác sĩ Phát thường áp dụng các kỹ thuật tiên tiến trong phẫu thuật khớp.

Theo bác sĩ Phát, phần lớn bác sĩ lo ngại vết thương tụ máu, nên chọn phương pháp truyền thống là đặt ống dẫn lưu. Tuy nhiên, nếu trong quá trình phẫu thuật cầm máu tốt thì rủi ro máu rỉ khá thấp, lượng máu và dịch rỉ sau phẫu thuật cũng được cơ thể hấp thụ.

“Các nghiên cứu lâm sàng trên thế giới và thực tế điều trị cho thấy việc không đặt ống dẫn lưu sau phẫu thuật không gây hại mà còn có nhiều lợi điểm: Giảm đau, giảm nguy cơ nhiễm trùng, bệnh nhân tiếp đất trong ngày, lấy lại chức năng vận động sớm và có thể xuất viện 3-6 ngày sau phẫu thuật”, bác sĩ Phát chia sẻ.

Benh vien FV anh 4

Phẫu thuật khớp không đặt ống dẫn lưu là cải tiến mang lại nhiều lợi ích cho bệnh nhân.

Ngoài việc áp dụng kỹ thuật điều trị tiên tiến, bệnh viện còn chú trọng công tác phòng chống nhiễm khuẩn. Điều này đảm bảo thành công cho ca mổ, giúp bệnh nhân mau hồi phục giảm biến chứng và giảm chi phí nằm viện.

Để được tư vấn về thông tin bảo hiểm và dịch vụ khoa Chấn thương Chỉnh hình, độc giả liên hệ 02854113333

Minh Chi

Bạn có thể quan tâm