Người đàn ông đau ruột thừa vì một lý do không ai ngờ
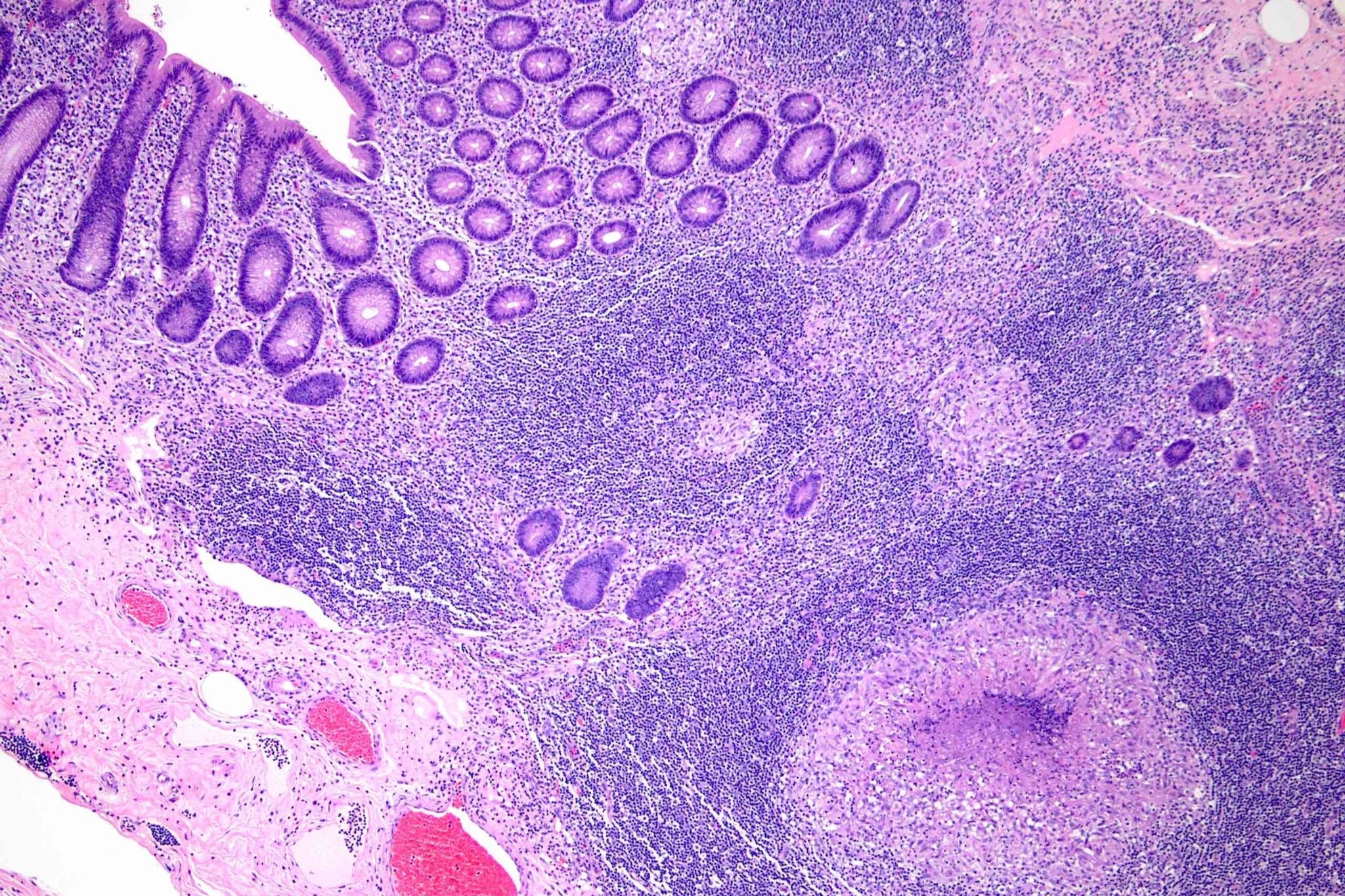
Sau nhiều ngày đau bụng không rõ nguyên nhân, người đàn ông được chẩn đoán viêm ruột thừa do lao – một nguyên nhân hiếm gặp.
1.501 kết quả phù hợp
Sau nhiều ngày đau bụng không rõ nguyên nhân, người đàn ông được chẩn đoán viêm ruột thừa do lao – một nguyên nhân hiếm gặp.
Rượu không chỉ gây say mà còn có thể là "liều thuốc độc" nếu không biết rõ nguồn gốc, sử dụng quá đà. Mỗi chén rượu nâng lên có thể mang theo rất nhiều rủi ro.
Chiến dịch tinh gọn bộ máy của Tổng thống Donald Trump và Elon Musk đang diễn ra mạnh mẽ, tuy nhiên nó cũng bộc lộ những điểm bất cập và rủi ro tiềm tàng.
Bình Phước đã phát sinh một ổ dịch bệnh tả lợn châu phi tại cơ sở nuôi lợn Cần Kim Tuyên (xã Đồng Tiến, huyện Đồng Phú, Bình Phước).
Nước ngập tận giường bệnh mỗi khi trời mưa từng là nỗi ám ảnh tại Bệnh viện Đa khoa Hóc Môn, nhưng hình ảnh này đã thành quá khứ sau khi tòa nhà mới đi vào hoạt động.
Tổ chức Y tế Thế giới (WHO) cho biết một đợt bùng phát nghi ngờ do virus Marburg ở tây bắc Tanzania đã lây nhiễm cho 9 người, trong đó có 8 trường hợp tử vong.
Chiều 5/1, Cục Y tế dự phòng, Bộ Y tế đã có báo cáo nhanh thông tin về các trường hợp mắc bệnh do virus gây viêm phổi trên người tại Trung Quốc.
Chi cục An toàn vệ sinh thực phẩm Hà Nội xác định nguyên nhân khiến 2 người tử vong, 15 người phải cấp cứu sau bữa tiệc là do ngộ độc hóa chất acetonitrile có trong rượu trắng.
Tất cả 14 bệnh nhân được Trung tâm Chống độc xét nghiệm đều cho kết quả âm tính với methanol và ethanol trong máu.
Tính đến chiều 20/12, có 15 người đang điều trị tại bệnh viện. Trong đó, 13 trường hợp cấp cứu tại Trung tâm chống độc, Bệnh viện Bạch Mai, sức khỏe ổn định.
Con chó lên cơn dại, trở nên hung hăng và cắn nhiều người tại ấp An Hòa, huyện Long Điền. Trong đó, 5 người bị phơi nhiễm virus dại và đang được theo dõi sức khỏe
Một phụ nữ ở Hà Nội bị đau cột sống thắt lưng mạn tính và đã tự mua thuốc về điều trị. Tuy nhiên, thuốc này có thành phần giảm đau, và tác dụng phụ có thể gây thủng dạ dày tá tràng.
Nói lời sau cùng, hai nữ nhân viên của Bệnh viện Đa khoa TP Cần Thơ khóc nức nở tại tòa vụ xử "tham ô tài sản" thừa nhận sai phạm, xin HĐXX giảm nhẹ hình phạt.
Qua kết quả xét nghiệm, các loại thực phẩm heo luộc, pate heo, chả lụa, nước sốt thịt heo và rau sống ăn kèm trong bánh mì có nhiễm vi khuẩn Salmonella.
Sau hơn một ngày, Bệnh viện Vũng Tàu và Trung tâm y tế Vietsovpetro tiếp nhận 291 nạn nhân nghi ngộ độc thực phẩm, hiện có khoảng 150 ca đang được điều trị.
Lãnh đạo Trung tâm Y tế huyện Bảo Lâm, tỉnh Cao Bằng, cho biết hiện chưa xác định được nguồn lây của ca bệnh.
Liên quan trường hợp mới nhất là bệnh nhân 11 tuổi (ở Cao Bằng) không qua khỏi do bệnh bạch hầu, Bộ Y tế yêu cầu rà soát người tiếp xúc gần với ca bệnh này.
Số ca nhiễm cúm A/H1pdm tại Bình Định tăng mạnh trong 2 tuần trở lại đây, trong đó có 4 ca không qua khỏi.
Trước đó một tháng, bệnh nhi 11 tuổi có dấu hiệu bị ho, gầy sút cân kèm theo sốt nhưng vẫn đi học bình thường.
Từ đầu năm đến nay, trên địa bàn thành phố đã xảy ra 2 vụ nghi ngộ độc tập thể. Tình trạng người dân ăn thực phẩm ở gánh hàng rong không đảm bảo vệ sinh vẫn còn nhiều.